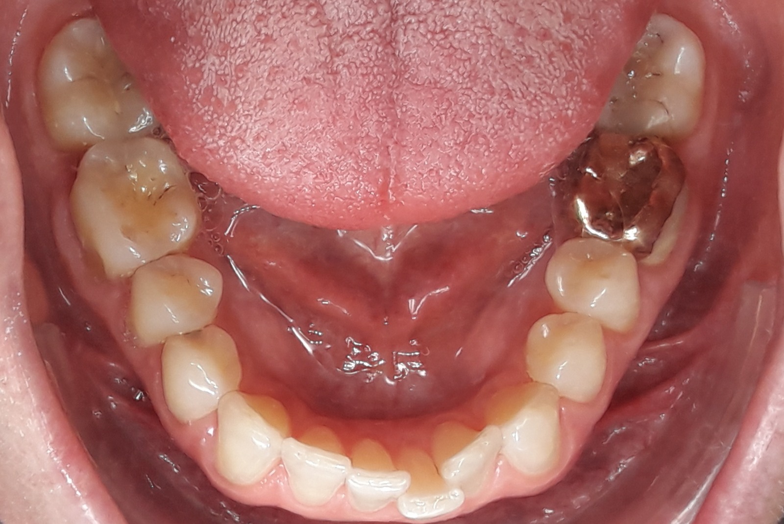
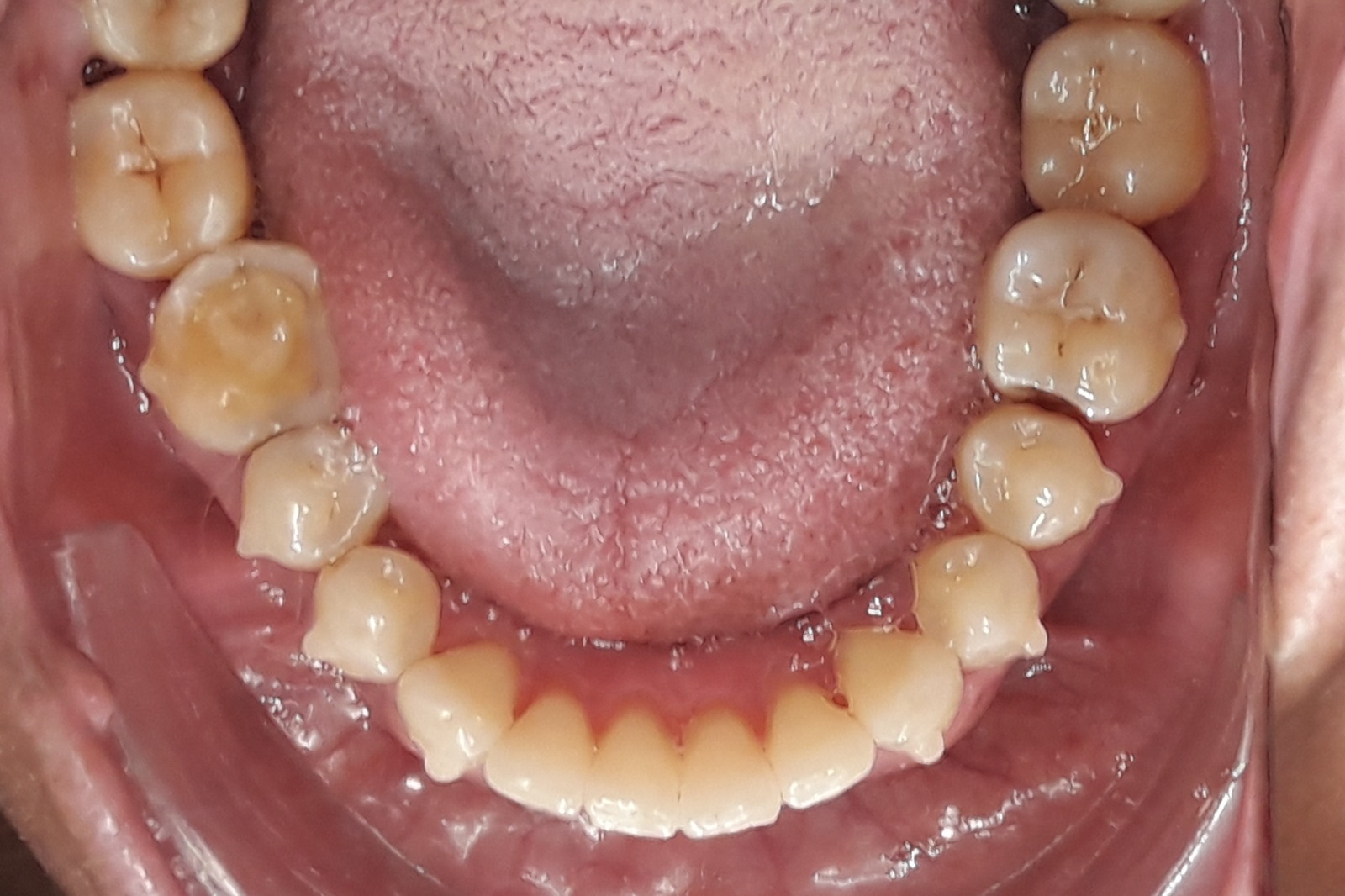
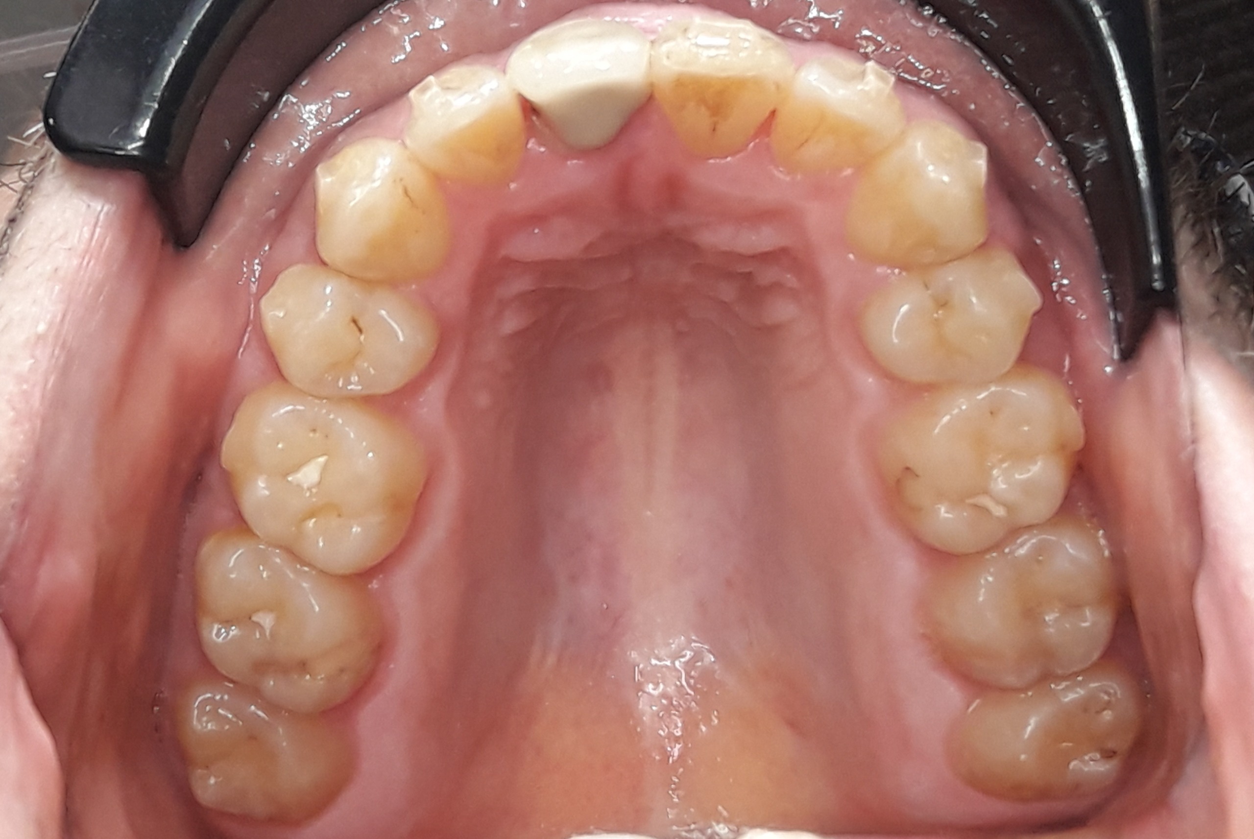
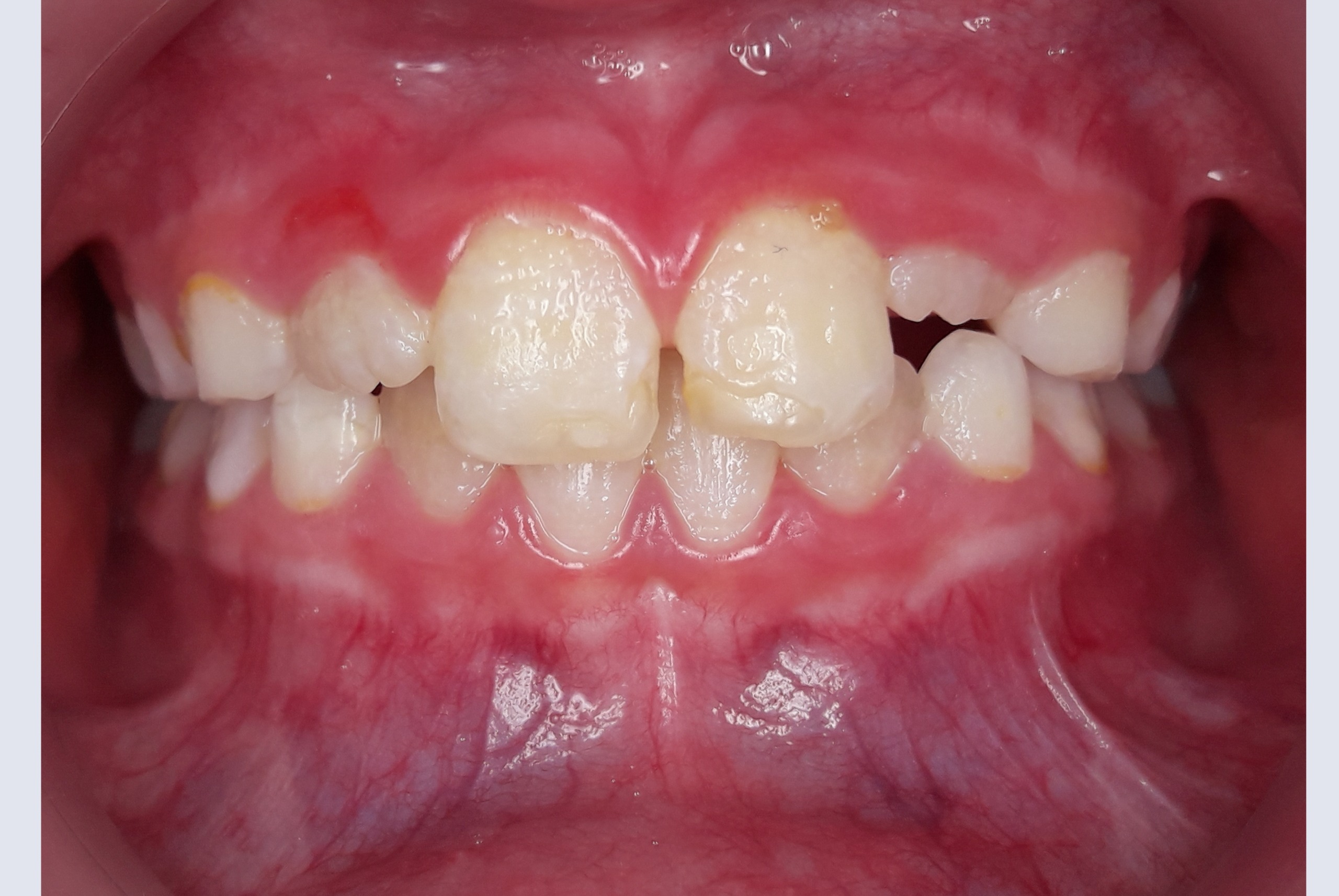
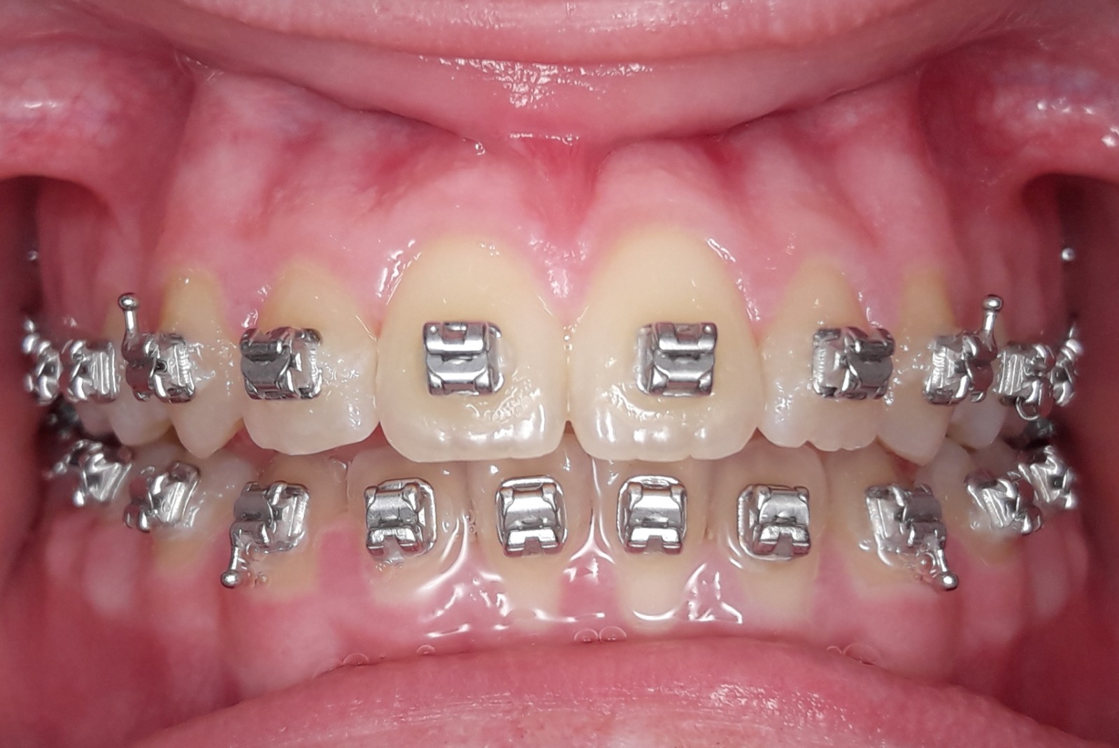
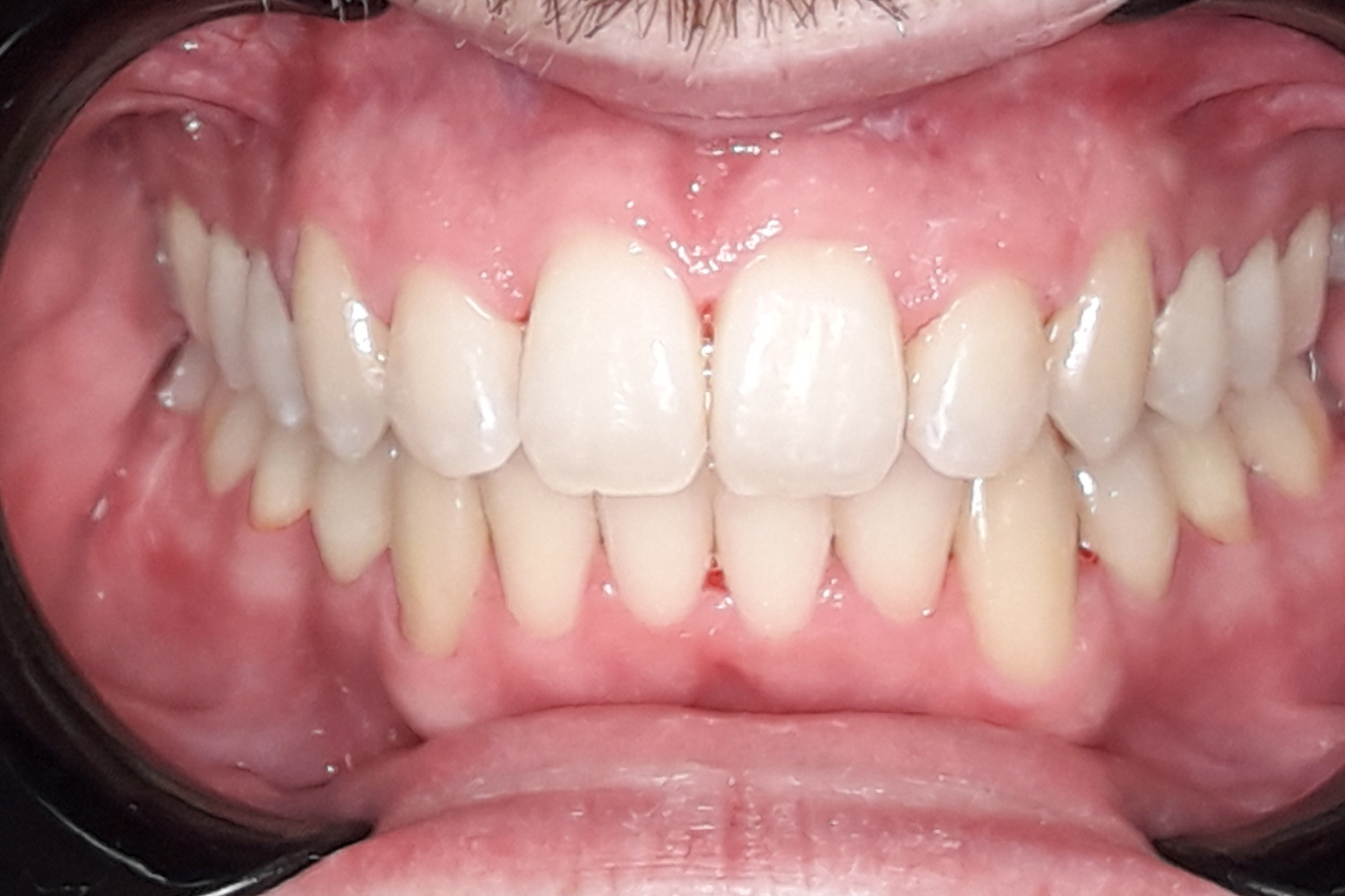
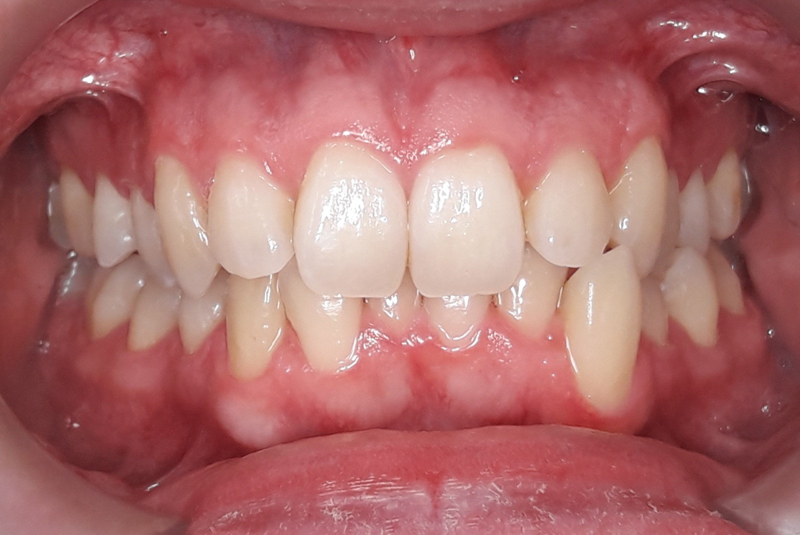
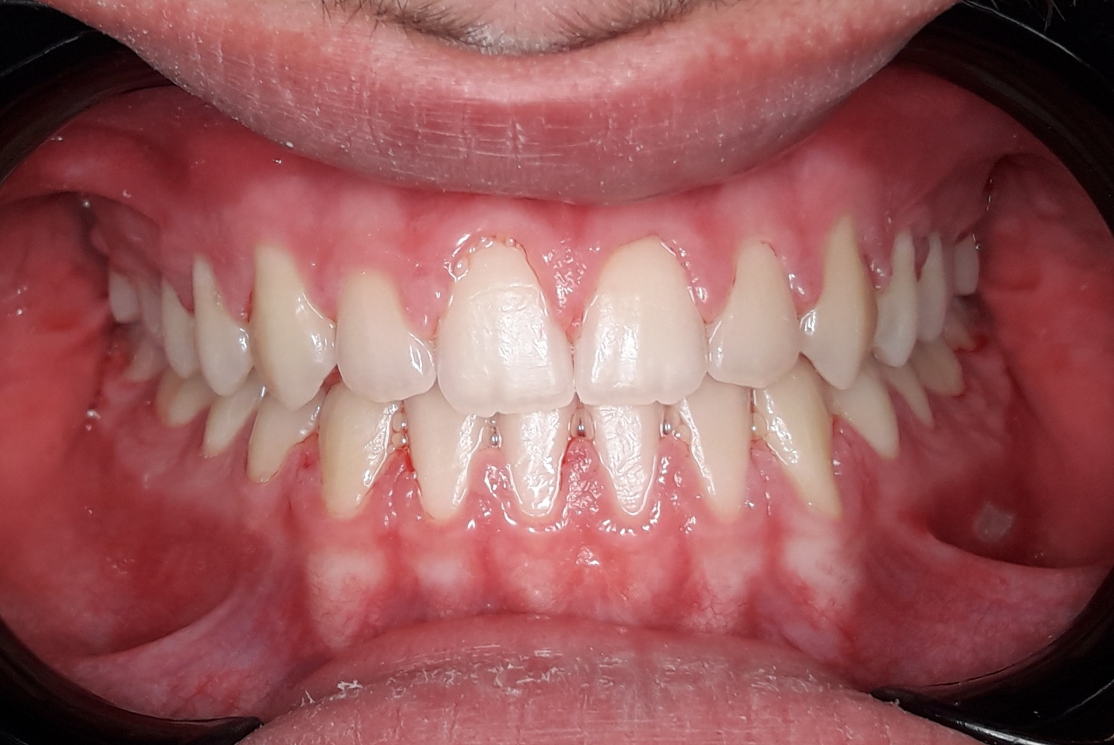
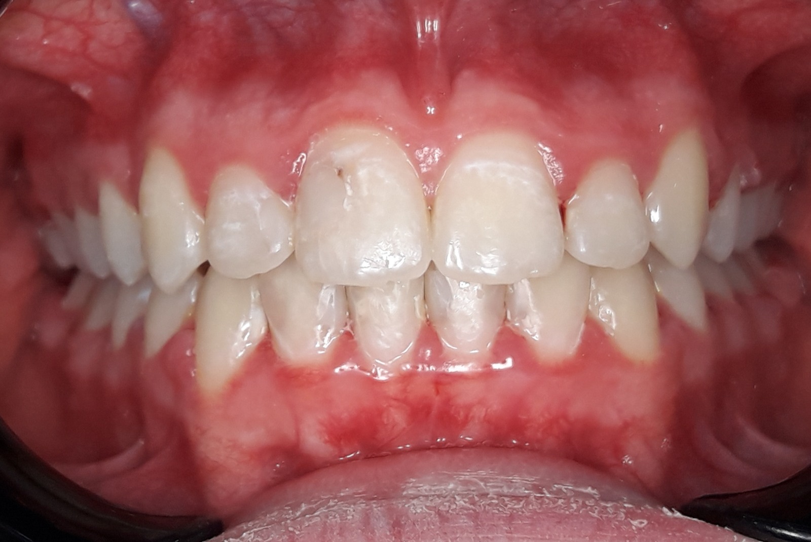
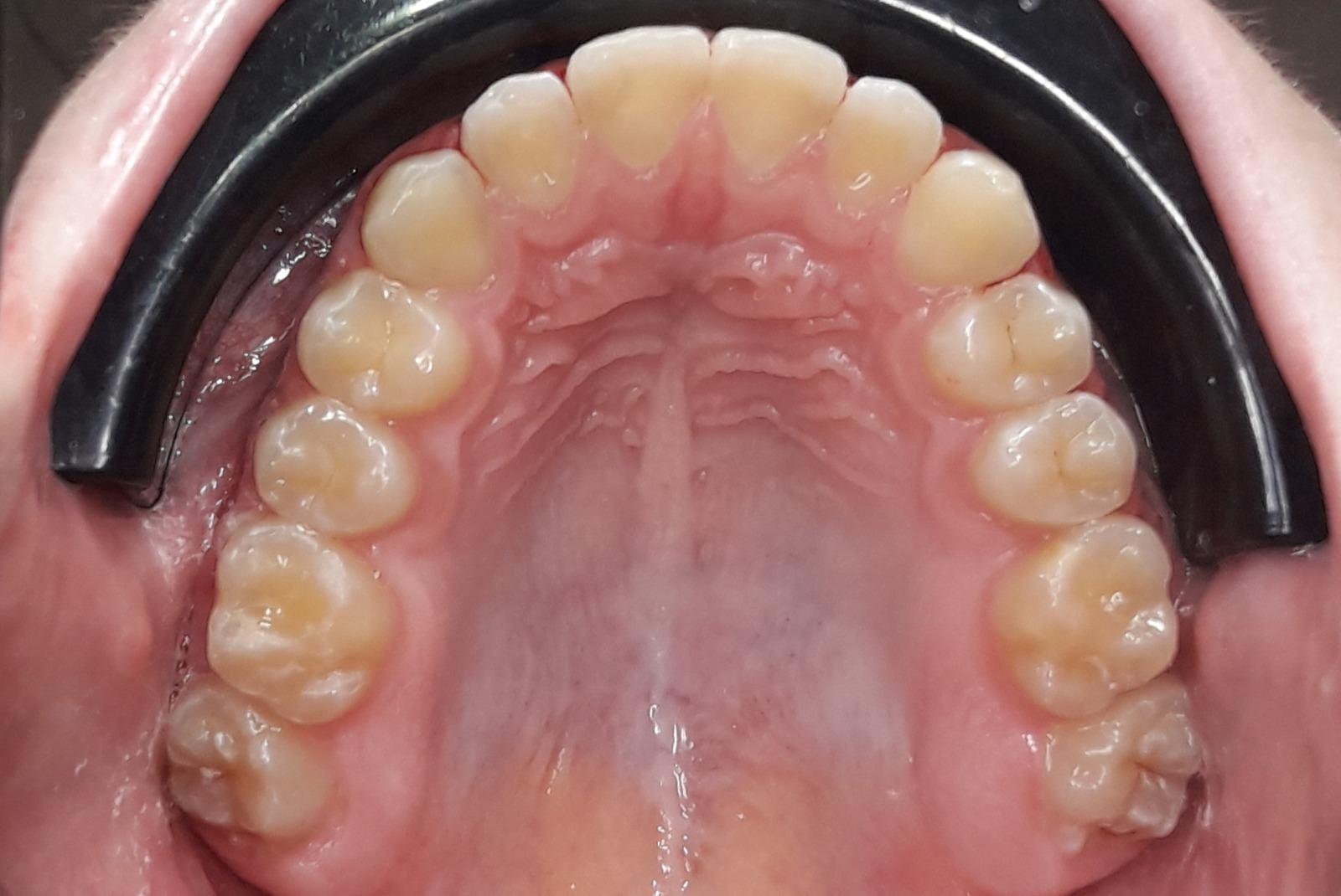
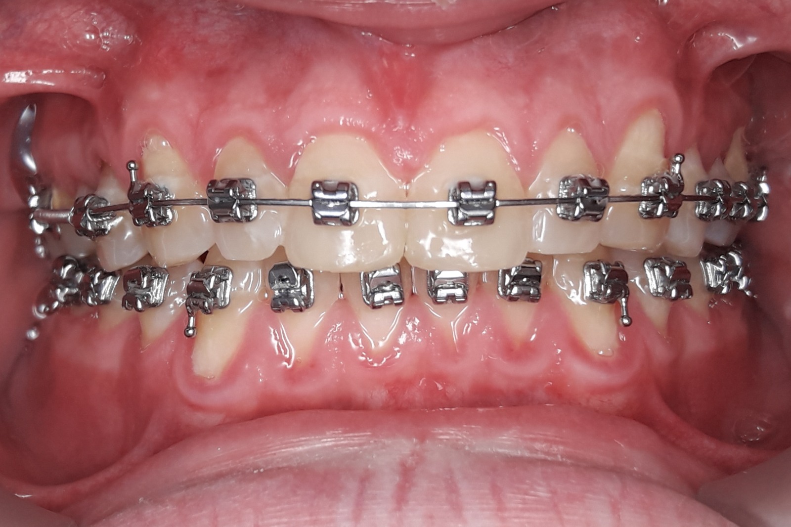
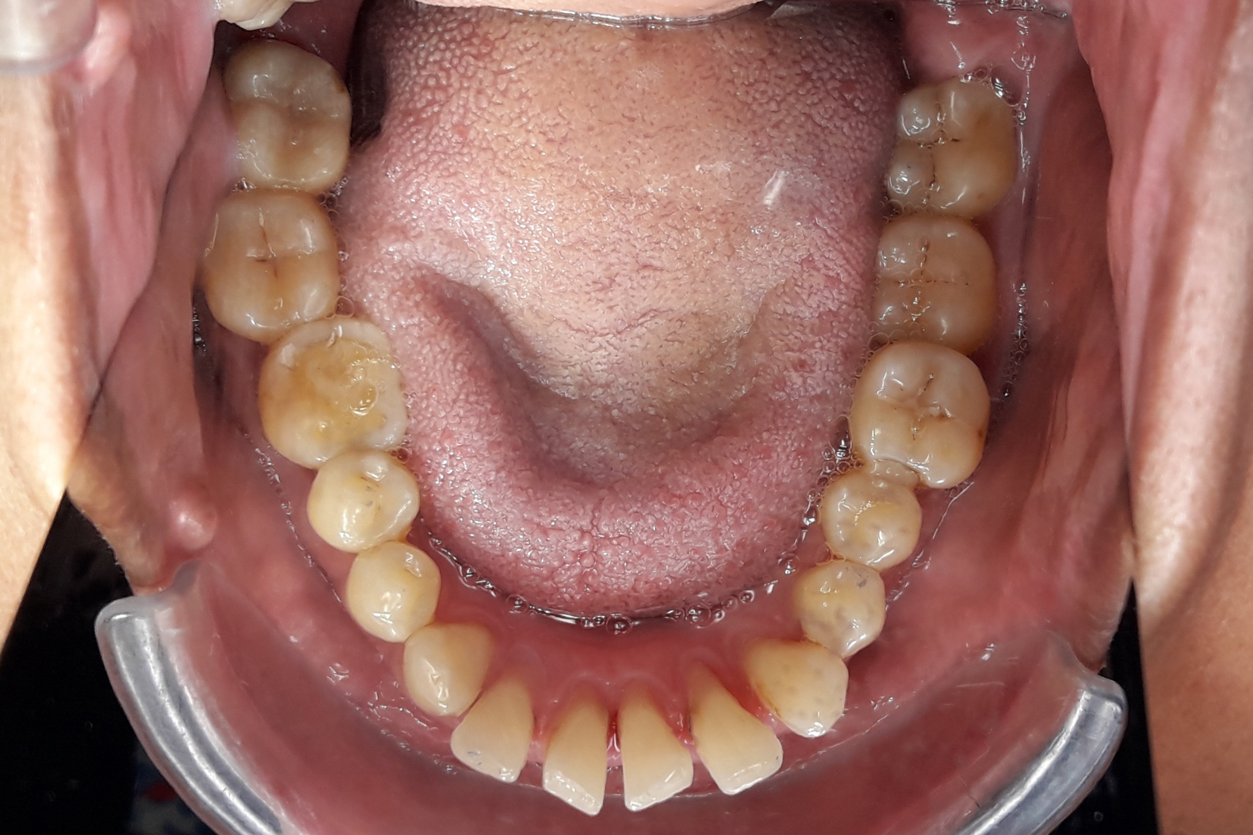
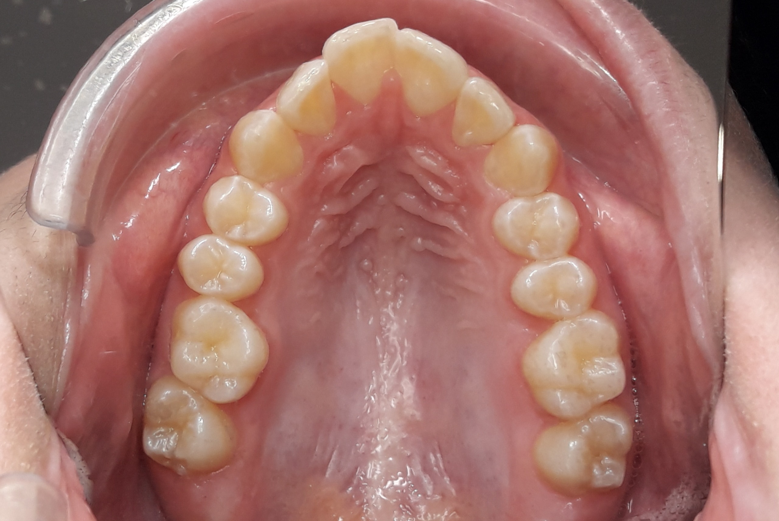
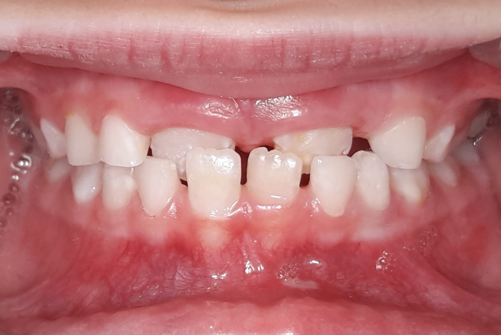
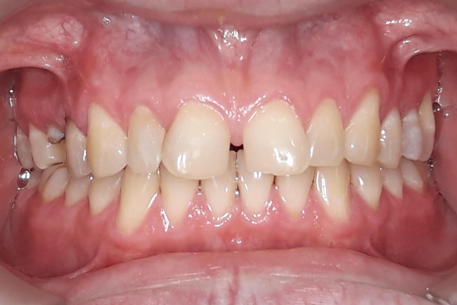
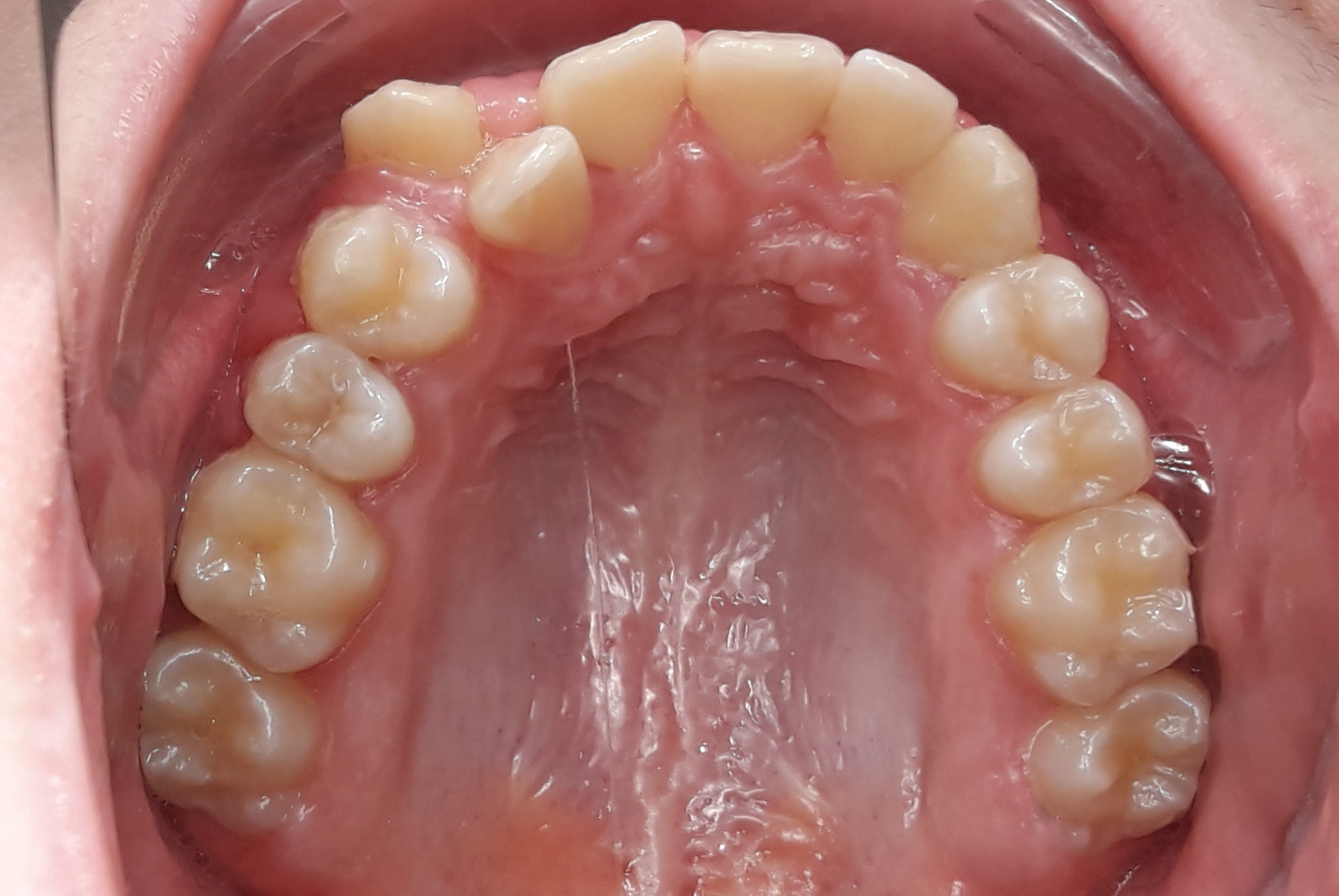
Unsere Fälle
Fachzahnarzt für Kieferorthopädie
Sie sind in guten Händen
In unserer Praxis sind Sie in guten Händen. Fr. Dr. Nichersu begann ihre Karriere im Jahr 2010 als Zahnärztin und spezialisierte sich ab 2014 auf Kieferorthopädie. Mit mehr als einem Jahrzehnt Berufserfahrung und einem Doktortitel verfügt sie über ein fundiertes Fachwissen und eine außergewöhnliche Expertise. Durch jährliche Fortbildungen ist sie immer auf dem neuesten Stand der medizinischen Entwicklung, um Ihnen die modernsten und effektivsten Behandlungen anbieten zu können.
Unterstützt wird sie von einem kompetenten und erfahrenen Team, das sich für eine angenehme und reibungslose Behandlung einsetzt. Gemeinsam setzen wir uns dafür ein, dass Sie sich bei uns gut aufgehoben und verstanden fühlen – für ein gesundes, strahlendes Lächeln in jeder Lebensphase.
